Informasjon til deg

som plages av blemmer i munnen

Hva er blemmer i munnen?

Blemmer - munnskold eller after - er smertefulle sår som oppstår i munnen. Ordet after kommer av det greske ord for ild, og tilstanden har fått sitt navn på grunn av den brennende smerte fra såret.

Hvordan ser blemmer ut?

Blemmer er normalt runde sår med en diameter på 5-10 mm, men de kan være større eller mindre. Såret er typisk gulhvit og omringet av en rød, litt forhøyet kant. Sårene er ofte smertefulle og kan være veldig irriterende, både ved å snakke, spising og tannpussing. Blemmer oppstår typisk på innsiden av leppene, på munnen og slimhinnen samt tungen. Blemmer er en tilstand som kommer og går - et utbrudd varer normalt 7-14 dager.

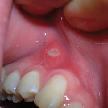
blemmer på munnslimhinnen
Blemme på munnslimhinnen i overkjeven.
blemmer på munnslimhinnen
Blemme på tungens sidekant.

Hvem får blemmer?

silhuetter av personer

Ca. 20% av befolkningen opplever å få en blemme innimellom. Kun få prosent er plaget av hyppige utbrudd.

Legg merke til, det er mange andre typer sår i munnen. Tannlegen kan fastslå om ditt sår er en blemme.

Hva er årsaken til blemmer?

Man kjenner ikke den nøyaktig årsaken til blemmer. Men synes et samspill av flere forhold har betydning for blemmer: nedsatt immunforsvar, arvelighet og en rekke andre faktorer.

Undersøkelsen har vist at:
ikono 40
av de som hyppig får blemmer har familiemedlemmer med samme problem.
ikono 90
Sannsynligheten for å utvikle blemmer kan være opp til 90 %, hvis begge foreldre har problemet.

Har man tendens til å få blemmer, bør man være oppmerksom på følgende faktorer:

Matallergier

En lang rekke matvarer slik som sjoko- lade, kaffe, peanøtter, mandler, jordbær, ost, tomater, hvetemel og syreholdige drikkevarer er mistenkt for å kunne utlø- se blemmer hos noen pasienter.

 

Skader på munnslimhinnen

Hvis man allerede er mer utsatt for å få blemmer, kan skader på slimhinnen, som følge av for eksempel bit eller tannbør- steskade, utløse blemmer.

 

Stress

Det er sannsynlig en sammenheng mellom stress og blemmer. Årsaken er ukjent, men stress påvirker sannsynligvis immunforsvaret.

 

Hormonelle forandringer

Noen kvinner opplever blemmer ved menstruasjon, graviditet, overgangsalde- ren eller ved bruk av p-piller.

 

Medisin

Noen legemidler kan utløse sår som ligner på blemmer. Disse sår forsvinner typisk igjen, når man stopper med medi- sinen. Det er blant annet snakk om noen typer medisiner mot høyt blodtrykk og smertestillende midler, som inneholder ibuprofen.

 

Vitaminmangel

Det er en sannsynlig sammenheng mellom forekomst av blemmer og man- gel på vitaminene B1, B2, B6, B12 samt folinsyre og jern. Rådgi deg med din lege om du skulle plages av vitaminmangel.

 

Skummemiddel i tannkremen

Natriumlaurylsulfat (SLS) brukes som skummemiddel i en lang rekke tann- kremer. Flere undersøkelser konklude- rer at SLS ikke forårsaker blemmer. Hos de få prosent av befolkningen, som er særlig plaget av hyppige forekomst kan utbruddstiden muligens nedsettes, hvis man bruker en tannkrem uten SLS, som for eksempel Colgate® Total Active Prevention+ Gum Care & Sensitive.

 

Colgate Total
Mild & uten SLS

Mild & uten SLS

Kan blemmer behandles?

Det finnes i dag dessverre ingen produkter som kan helt helbrede blemmer. Antallet utbrudd kan ofte minskes, hvis det er mulig å identifisere og unngå de utløsende faktorer. Er du plaget av blemmer, finnes det reseptfrie produkter som kan lindre symptomene.

De få prosent, som plages av særlig smertefulle og store sår, kan ha bruk for medisinsk behandling, der det typisk blir forskrevet i samarbeid med en spesialist.

Hva er viktig å vite?

Blemmer blir vanligvis bedre av seg selv i løpet av 7-14 dager. Hvis blemmen ikke forsvinner i løpet av et par uker, eller hvis man plutselig begynner å få hyppige utbrudd, er det viktig å søke lege eller tannlege, da blemmer i sjeldnere tilfeller kan være tegn på andre sykdommer.

 

Blemmer - munnskold eller after - er smertefulle sår som oppstår i munnen.